Have you or anyone you know been diagnosed with a cataract and are contemplating surgery for it? I have done well over a thousand cataract operations in my career, but I have to be honest- I have never been on the other side of the table, and have never had the procedure done myself. A good friend (an Anesthetist I have worked with for many years), however, has had both his cataract surgeries done, and I made him give me a blow-by-blow account of the experience, so that I could better understand what my patients go through. Here’s what to expect on the day of surgery.

The Preoperative Preparation
If asked to fast before surgery, please do fast! Please do not cheat and eat if instructed not to do so. During surgery, mild sedative medications may be given to you if you feel anxious, to calm your nerves for a better surgery experience. It is important that these medications be given on an empty stomach, in case you feel nausea and retch- regurgitated stomach contents can actually go down the breathing tube and cause serious lung problems! Fasting is usually from 12 midnight the night before for surgery listed in the morning, and from 6am on the day of surgery for surgery listed in the afternoon.
You will be asked to report early for surgery because preoperative eyedrops have to be instilled into the eye, to prepare the eye for the cataract operation. These drops are needed to dilate the pupil of the eye to allow the cataract, which lies behind the pupil, to be removed. Drops usually take about an hour to reach peak effect.

The Surgery Experience
Once ready, you will be taken to an operating theatre. If you have requested for an Anesthetist to be present, he or she will set a line on the back of your hand- this is used to administer sedative medications to relieve your anxiety and make you more calm.
The Eye itself requires some anesthetic for surgery as well, and this is usually administered via eyedrops. Your surgeon will usually administer these drops him/herself. Occasionally, an injection may be required to achieve complete numbness of the eye. This is given just below the eye, through the skin on the lower eyelid. It sounds intimidating, but really only takes a few seconds to give and it is over!
Surgery is done on an operating table, with the help of an operating microscope. Once your face has been cleaned and a sterile surgical draped placed over you, a small metal speculum will be used to help to keep your eye open throughout the surgery. The speculum will cause mild discomfort and a feeling of pressure around the eye- do alert your surgeon if the discomfort is unbearable, as the speculum can be adjusted to your comfort.

Once surgery starts, you will be asked to look straight ahead at the microscope. What you will see is 3 bright lights arranged in a triangle. Although it is difficult to maintain your focus on the 3 lights – the body’s instinct is to close the eye, it is imperative that you try your best to focus on the lights during surgery.
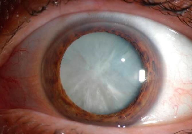
You will first feel mild pressure as the surgeon makes 2 incisions in the cornea (the transparent tissue in the front of the eye), and makes a small hole in the capsule of the cataract. Some water is injected around the cataract to loosen it, then the ultrasound (phaco) probe is inserted into the eye.
When the probe is activated, a buzzing sound is heard, and this sound is usually interspersed with higher pitched sounds as varying amounts of ultrasound is applied to break up the cataract. Do not be alarmed by the machine noises, they are perfectly normal!
Once the cataract has been removed, the intraocular lens has to be inserted in its place to give you good vision after the surgery. I have been told that this is the most uncomfortable part of the surgery. Intraocular lenses are small, foldable acrylic or silicone implants that are injected into the eye through the main incision. The lens is usually about 13mm long and 6mm wide, but has to squeeze through a tiny 2.65mm incision, hence the patient usually feels the most pressure as in enters the eye. Thankfully, lens insertion is usually over in a matter of seconds.

Once the lens has been inserted, surgery is more or less done! What remains is to instil medications into the eye, ensure the wounds do not leak (they generally are self sealing and do not need to be stitched), and the operation is over.
In some circumstances, additional steps such as the use of a Femtosecond Laser or a Computer Guided Toric Lens Placement system may slightly prolong surgery. More about these exciting technology in another post!
What will I see and hear during Surgery?
Patients are often fearful that they will see instruments going in and out of their eyes. In fact, this is not the case. Usually what is seen at the start of surgery is the 3 bright lights of the operating microscope. These 3 lights gradually become a bright blur as surgery progresses, and even at the end of surgery when the drapes are removed, vision is not clear. This is because the light-sensitive pigment in the retina of the eye gets bleached by the microsope light, and regeneration of the pigment requires some time in a dimmer environment. Hence, you will only begin to see clearer in the recovery room after surgery is completed.
The operating theater is a busy working environment the Surgeon, Anesthetist and Nurses work together to perform the operation on the patient. In addition to the beeps and buzzing of the machines, you can expect to hear people talking- the Surgeon requesting for instruments from the Scrub Nurse, the Anesthetist giving instructions to his Nurse. Your Surgeon or Anesthetist may even talk to you, to keep you calm and keep you company during your surgery!
What happens Postoperatively?
Once surgery is over, you will be brought to a recovery room to be monitored. Patients are often fasted for surgery and come out pretty hungry, so milo and cookies are served! After the nurses have shown you how to instil your postoperative eye drops and care for your eye, you can be discharged to go home.

I hope this has been a useful guide on what to expect from Cataract Surgery! Many of my patients are intimidated by the prospect of surgery, but come out the other side surprised by how pain-free and simple the process is. Do write to me if you have questions, I will be glad to answer them.

